
Are Bunions Limiting Your Activities and Lifestyle?
Bunions can be very painful. With each step, your entire body weight rests on that bunion. Ouch! Conservative treatment options can help alleviate pain, but will not fix the problem because bunions are a progressive disorder that will not go away on their own without surgical correction.
Lapiplasty Bunion Surgery with Dr. Teichman
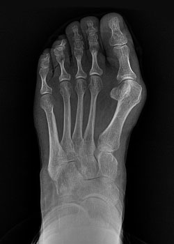
Before
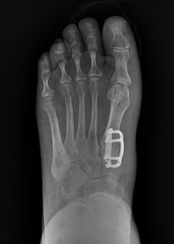
After






