SWIFT Therapy for Plantar Warts with Dr. Rocchio

SWIFT Therapy for Plantar Warts with Dr. Rocchio - BeforeBefore
SWIFT Therapy for Plantar Warts with Dr. Rocchio - AfterAfter

After struggling with a plantar wart for over a year, I can confidently say finding Dr. Rocchio was life-changing. I had previously seen my primary care doctor and a specialist who both attempted freezing treatments and acid applications. Not only were those treatments incredibly painful and costly ($1,200 out of pocket) but the wart actually grew larger. I was eventually told that surgery might be my only option — and even then, there was no guarantee it wouldn’t come back. Multiple doctors warned me about the possibility of painful scarring, which was honestly discouraging.

Thankfully, I found Dr. Rocchio and his team, who recommended SWIFT therapy. The treatment was completely different from anything I had experienced before. There was no downtime, and within just one week I noticed a drastic improvement. It’s now been almost three months, and my foot looks amazing — completely clear.

HG

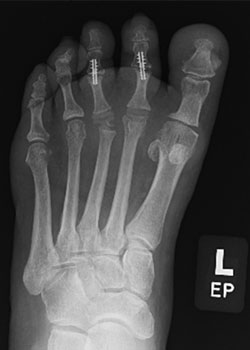
Lapiplasty Bunion Surgery with Dr. Teichman

Lapiplasty Bunion Surgery with Dr. Teichman - BeforeBefore
Lapiplasty Bunion Surgery with Dr. Teichman - AfterAfter

Hammertoe Surgery with Dr. Tabchi

Hammertoe Surgery with Dr. Teichman - BeforeBefore
Hammertoe Surgery with Dr. Teichman - AfterAfter
Hammertoe Surgery with Dr. Teichman - BeforeBefore
Hammertoe Surgery with Dr. Teichman - AfterAfter

Hammertoe Surgery with Dr. Teichman

Hammertoe Surgery with Dr. Teichman - BeforeBefore
Hammertoe Surgery with Dr. Teichman - AfterAfter
scroll to top